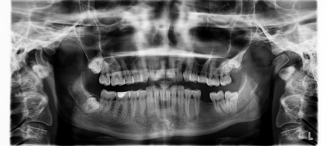
Accurate assessment of tooth development is crucial in various fields, including dentistry, orthodontics, and forensic science. Traditional methods, such as the Demirjian system, rely on visual inspection by dental professionals, which can be subjective and prone to inter-observer variability. This study aimed to develop a fully automated system for classifying third molar (wisdom teeth) development stages using deep learning, offering a more objective and efficient approach.
The research utilized a large dataset of orthopantomograms (OPGs), which were meticulously labeled by dental experts according to the Demirjian system. The dataset comprised images of both left and right lower jaws, resulting in a substantial collection for model training and evaluation. To enhance the accuracy and robustness of the system, several key techniques were employed:
- Region of Interest (ROI) Extraction: The OPGs were carefully cropped to isolate the regions containing the third molars, minimizing irrelevant information and focusing the model’s attention on the crucial areas.
- Data Augmentation: To address potential biases and improve model generalization, various data augmentation techniques were implemented. These included random rotations, contrast adjustments, and translations, effectively increasing the diversity of the training data and enhancing the model’s ability to recognize variations in image appearance.
- Deep Learning Architectures: A range of state-of-the-art deep learning models, including EfficientNet, ResNet18, MobileNet, and others, were employed and rigorously evaluated. These models were chosen for their proven effectiveness in image classification tasks and their ability to extract complex features from the input images.
The results demonstrated the superior performance of the EfficientNet model, achieving a classification accuracy of 83.7%. This significant achievement highlights the potential of deep learning in automating the assessment of dental development. Other models, such as ResNet18 and MobileNet, also exhibited promising results, showcasing the versatility of deep learning approaches for this specific task.

Image by youllneverknow from Pixabay
The successful development of this automated system has several important implications. Firstly, it offers the potential to significantly improve the accuracy and consistency of dental age assessments, reducing reliance on subjective human interpretation. Secondly, it can streamline the diagnostic process, saving time and resources for both clinicians and patients. Furthermore, this technology has the potential to enhance forensic investigations by providing more objective and reliable evidence for age estimation.
This study represents a crucial step towards the integration of artificial intelligence in dental practice. Continued research and refinement of these deep learning models will further enhance their accuracy and broaden their applicability in various clinical and forensic settings.
Source:
Omid Halimi Milani and et. al., A fully automated classification of third molar development stages using deep learning, Scientific Reports, volume 14, Article number: 13082, 2024.